The “Short Umbilical Cord Sequence Syndrome”: A Case Report and Review of The Literature
Ben Kahla A1, Jemaa Yosra1*, Ben Dhief Mahdi1, Hela Najjar1, Sonia Ben H2, Ataa Mesbahi1, Dhekra Toumi1 and Laajili Haye1
1Department of Gynecology and Obstetrics, Hospital Haj Ali Soua Ksar Hellel, Monastir, Tunisia
2Department of Anesthesia and Reanimation, Hospital Haj Ali Soua Ksar Hellel, Monastir, Tunisia
Submission: July 27, 2024; Published: September 04, 2024
*Corresponding author: Yosra Jemaa, Department of Gynecology and Obstetrics, Hospital HAJ ALI SOUA Ksar Hellel, Monastir, Tunisia
How to cite this article: Ben Kahla A1, Jemaa Yosra1*, Ben Dhief Mahdi1, Hela Najjar1, Sonia Ben H, et al. The “Short Umbilical Cord Sequence Syndrome”: A Case Report and Review of The Literature. Acad J Ped Neonatol 2024; 14(3): 555941. 10.19080/AJPN.2024.14.555941
Abstract
Short cord syndrome is a complex, lethal and rare poly-malformative syndrome. We report a case, described in Tunisia, of this syndrome observed antenatally in a 33-year-old parturient, by an initial obstetric ultrasound performed at 26 weeks’ amenorrhea. After termination of pregnancy, macroscopic examination revealed a male newborn with several diagnostic criteria of the short cord sequence, principally abnormal folding of the embryo in the early phases of development (lack of closure of the abdominal and thoracic wall). This is known as Cantrell’s pentalogy associated with short cord sequence.
Keywords: Short Cord Sequence Syndrome; Ultrasound; Prenatal Diagnosis; Tunisia
Introduction
Short-cord sequence syndrome is a rare specific poly-malformative syndrome, little known by obstetricians and sonographers until 1987 when it was described more precisely by VAN Allen et al. [1]. Since then, it has given rise to some twenty publications. It associates severe cerebral, visceral, spinal and limb malformations [2]. Ante-natal diagnosis can be made by antenatal ultrasound, provided it is recognized. In this article, we report a case of antenatal diagnosis of this syndrome at 26 weeks’ amenorrhea. A in a nulliparous woman, specifying the particularities specific to our observation, and we attempt to review the diagnostic criteria, the ultrasound criteria and the prognosis of this syndrome, which is not as rare as previously thought.
Observation
Mrs LK, with no particular medical or surgical history. She has been married since 2020, with no notion of consanguinity or familial fetal malformation. G5P0A4, notion of 3 unexplored repeat abortions and one unexplored late-term abortion. The current pregnancy is not well monitored, pregnant at 26 weeks’ gestation, with no notion of specific medication, referred by a radiologist for short cord sequence syndrome discovered during a morphological ultrasound performed at 26 weeks’ gestation. Clinical examination revealed a uterine height corresponding to gestational age, with positive and regular BDCs.
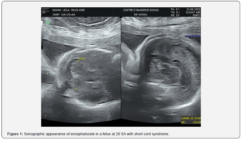
Obstetrical ultrasound revealed an evolving mono-fetal pregnancy, with amitotic fluid in diminished quantity, a cerebral floor without anomalies (Figure 1), a large coelosomycompléte, heart, liver and intestine bathed in amniotic fluid, (Figure 2) without individualization of the diaphragm, with anomalies of the spine (Figure 3) anomalies of the lower limbs, a right clubfoot. The fetus appeared to be attached to the placenta. An umbilical cord containing two arteries and a very short vein (Figure 4), The most likely diagnosis was short cord syndrome. After discussion with the parents and a psychological interview with the woman, the pregnancy was terminated. Macroscopic examination at birth revealed a male fetus weighing 500g, with a marked anterior complete coelosomy (heart, liver and intestine exteriorized). Narrow thorax. The spine is angulated, and the lower limbs are club-footed (Figure 4). The fetus was attached to the placenta by a very short 6 cm cord, with 2 arteries and one vein (Figure 5). The fetus was pathologically examined for other visceral malformations. However, all the ultrasound findings and macroscopic examination (Figure 6) enabled the diagnosis to be accepted.






Discussion
Short-cord syndrome is a lethal malformation characterized by the attachment of fetal visceral organs to the placenta due to extreme shortening or absence of the umbilical cord, with a frequency of around 1:14,000 births. 1/7500 to 1/42000 pregnancies in the U.K. [1,2]. This condition usually occurs sporadically, and is not associated with karyotype abnormalities. Recurrence has not been observed [3]. This syndrome is not widely described in the literature; it is an anomaly affecting around 1% of pregnancies. Its physio-pathogenesis is poorly understood, and no single pathophysiology has been studied or identified. Known risk factors for the occurrence of short umbilical cord sequence are: consumption of alcohol, tobacco and marijuana; cases have been reported after IVF, and finally, in monozygotic twin pregnancies. It is a lethal condition (in utero or at birth), but spontaneous abortions are common [4].
Ultrasound signs of short cord sequence syndrome are manifold, and include the presence of :
° Gross deformity, with complete loss of anatomical ultrasound landmarks.
An abnormally inseparable fetus (partially attached to the placenta). Absence of umbilical cord or very short cord. Large thoraco-abdominal wall defect (vast celosomy - coelosomy) in the form of a complete thoraco-abdominal evisceration not covered by a membrane. Sometimes the peritoneum fuses with the amnion (amnionperitonealsleeve). Defects of the thoraco-abdominal wall may be associated with diaphragmatic hernia or absence of the diaphragm; defect of the sternum and also cardiac malformations, in particular ectocardia (ectocardia - ectopiacordis). Visceral anomalies: intestinal atresia; renal malformations such as pyelectasis, renal agenesis, renal cystic dysplasia. Anomalies of the spine, such as scoliosis or kyphoscoliosis (sometimes with several points of angulation) and reduction anomalies of the spinal column (caudal regression). The neck is often elongated. Lower limb anomalies: club feet, reduction anomalies (absence of limbs or toes); polydactyly, syndactyly, arthrogryposis...
Cephalic anomalies: exencephaly, anencephaly, encephalocele, facial defects and, in 71% of cases, increased nuchal translucency.
Two known phenotypes of the short cord sequence:
*without craniofacial defects in 60% of cases, and
*with the presence of craniofacial defects in 40%.
Amniotic bands are seen in 40% of cases. Oligohydramnios in the 2nd and 3rd trimesters of pregnancy [5,6].
According to some articles, another biological element is the increase in the level of alpha fetoprotein in maternal blood (MSAFP) [7]. Ultrasound prenatal diagnosis is possible from the end of the first trimester, at best vaginally, with the earliest prenatal diagnosis reported in the literature at 12 weeks’ gestation [8]. The most consistently reported anomalies are coelosomia, limb involvement, the placenta being attached to the fetus, and spinal anomalies with a cord that is often short [8,9]. The differential diagnoses to be evoked would be numerous if each anomaly were considered in isolation, and diagnostic difficulties may be encountered in cases of severe oligohydramnios, as well as in the association of an omphalocele or laparosxisis with other malformations such as neural dysgraphia or craniofacial defects.
In our case, the diagnosis was mainly based on the association of a complex poly-malformative syndrome with a characteristic short umbilical cord. The prognosis of short cord sequence syndrome is fatal, with malformations unfortunately beyond therapeutic resources, and termination of pregnancy seems acceptable in all cases. Given the absence of chromosomal abnormalities, a karyotype would appear to be unnecessary. The risk of recurrence of the condition was considered to be nil, but a familial recurrence could suggest a probable genetic origin [10].
Conclusion
Short cord syndrome deserves to be better known by obstetricians and ultrasonographers, as this not only enables antenatal diagnosis and discussion of early termination of pregnancy, but above all reassures couples faced with such a polymalformative syndrome, as the risk of recurrence is almost nil.
Consentement
Informed consent for the publication of their clinical details and/or clinical images has been obtained from the parents
Contribution of the Author’s
All authors also declare that they have read and approved the final version of the manuscript.
References
- Catherine Garel, Marie Cassart (2016) Imaging from fetus to newborn. Lavoisier Médecine Sciences.
- Philippe B, Bernard GM, Yann R, Véronique Houfflin-D, Yves A (2014) Ultrasound in obstetrical practice. Elsevier Masson. (5th edition).
- Woodward PJ, Kennedy A, Sohaey R, Byrne JLB, Oh KY, et al. (2011) Diagnostic Imaging Obstetrics. AMIRSYS 2011. C7-P:30-33.
- Woodward PJ, Kennedy A, Sohaey R, Byrne JLB, Oh KY, et al. (2009) ExpertddxObstetrics. AMIRSYS.
- BerylBenacerraf (2008) Ultrasound of fetal syndromes. Churchill Livingstone Elsevier p. 361.
- Eberhard Merz (2005) Ultrasound in Obstetrics and Gynecology. Thieme Edition pp. 304-306.
- Patten RM, Van Allen M, Mack LA, Wilson D, Nyberg D, et al. (1986) Limb-body wall complex: in utero ultrasound diagnosis of a complicated fetal malformation. AJR Am J Roentgenol. May 146(5): 1019-1024.
- Deruelle P, Hay R, Subtil D, Chauvet MP, Duroy A, et al (2000) Prenatal diagnosis of the limb body wall complex. J GynecolObstetBiolReprod (Paris) 29(4): 385-391.
- Calzolari E, Volpato S, Bianchi F, Cianciulli D, Tenconi R, et al. (1993) Omphalocele and gastroschisis: a collaborative study of five Italian congenital malformation registries. Teratology 47(1): 47-55.
- Manuel PG, Garcia GI, Teresita AL (1995) Prenatal anomaly of anterior abdominal wall defects with ultrasound. Radiographies 15: 517-530.

















