Radiographic Characterization of The Fifth Metatarsal in The Children’s Population in A High Complexity Hospital. Case Series and Literature Review
Monterrosas-Ustaran D1, Sánchez-Gómez Leidy2* and Mendoza-Mena J3
1Jefe servicio de Radiología Pediátrica, Residente de Imagenología Pediátrica, Residente de segundo año Imagenologia Diagnóstica
2Hospital Ángeles Pedregal, Ciudad México, México
Submission: August 14, 2024; Published: September 10, 2024
*Corresponding author: Leidy Cristina Sánchez Gómez, Hospital Ángeles Pedregal, Ciudad México, México
How to cite this article: Monterrosas-Ustaran D, Sánchez-Gómez Leidy, Mendoza-Mena J. Radiographic Characterization of The Fifth Metatarsal in The Children’s Population in A High Complexity Hospital. Case Series and Literature Review. Acad J Ped Neonatol 2024; 14(3): 555942. 10.19080/AJPN.2024.14.555942
Resume Summary
Introduction: knowing the anatomy, variants and radiographic findings of the fifth metatarsal in the child population is essential, when related to intense sports activity by conditioning repetitive tractions of the structures that are inserted into it. Radiographic findings in pediatric patients with lateral foot pain or a history of trauma include age- appropriate changes, fractures, avulsions, and apophytisis. The delay in the recognition and correct intervention of these favors the development of failure in consolidation, which is why we carefully carry out the correct identification of these.
Objective: characterize the radiographic findings and pathologies of the fifth metatarsal in the child population between 2022 and 2024.
Method: an observational, retrospective, descriptive cross-sectional study was carried out, where patients between 5 and 17 years old were included, who underwent foot x-rays between 2023 and 2024. The data were obtained from the review of the RIS-PACS system. and were exported to Excel for subsequent analysis of demographic and radiographic variables.
Results: 256 foot x-rays were reviewed, where 70% were men, with an average age of 14 years, with the left foot being the most affected by zone 2 or Jones fracture. The process of ossification and fusion occurred earlier in girls.
Conclusions: The radiographic findings at the base of the fifth metatarsal comprise a wide spectrum of injuries that are identified by simple radiography, for a timely approach to reduce morbidity.
Introduction
The anatomy, its variants and radiographic findings of the fifth metatarsal in the child population is essential, when related to prolonged sports activity that conditions repetitive traction of the structures that are inserted into it. Radiographic findings in pediatric patients who consult due to pain on the outside of the foot or a history of trauma (contusion or dorsiflexion) include age-appropriate changes, fractures, avulsions and apophytisis, with avulsion fracture being the most common [1]. The delay in the recognition and correct intervention of these favors the development of failure in consolidation, which is why we carefully carry out the correct identification of these. The foot can be divided into 3 parts, forefoot made up of the phalanges and metatarsals; midfoot has wedges, the navicular and cuboid; and finally the rearfoot: made up of the talus (talus) and the calcaneus. For the purposes of our study we will focus on the pathology of the fifth metatarsal in the pediatric population [2].
Regarding the anatomy of the fifth metatarsal in the pediatric population, we must remember the appearance of secondary ossification centers that the metatarsals and phalanges have and can be confused with injuries, the rest of the bones are formed from a primary center; The primary one occurs from the eighth month of life and the secondary one is different in each metatarsal (Figure 1) [3]. The importance of the styloid process of the fifth metatarsal in the insertion of the tendon of the peroneus brevis muscle and the lateral cord of the plantar aponeurosis, important in the joint stability of the ankle [4]. The ossification centers begin to appear between 2 months and 2 years and fuse between 13 and 22 years, while the basal styloid process develops between 9 and 11 years in girls and between 11 and 14 years in children, merging two or three years later (Figure 2) [5].


The mechanism of trauma in injuries to the fifth metatarsal base includes anterior eversion of the foot, forced inversion of the foot in plantar flexion and adduction in the forefoot with the ankle in plantar flexion, less common due to chronic overstrain on the metatarsal. Manifestations include mild to moderate pain and edema, not proportional to the intensity of the trauma [6]. Radiographic diagnosis relies on dorsoplantar, oblique and internal lateral projections with high sensitivity and specificity. The imaging modalities given by tomography and resonance are relegated to surgical planning.
Results
The 280 comparative foot x-rays were reviewed, excluding 18 as they were not comparative x-rays and 6 due to incomplete identification, with no record of age or gender. 256 foot x- rays were included, where 70% (n=179) were men, with an average age of 14 years, with the left foot being the most frequently injured. The ossification and fusion processes occurred earlier in girls; and regarding the most frequent pathologies found in pediatric patients at the Ángeles Pedregal hospital between 2023 and 2024, first of all, we find the fracture, specifically the Jones type (zone 2), followed by the avulsion of the apophysis (zone 1 ) and finally apophysitis or Iselin disease. None required surgical management.
Discussion
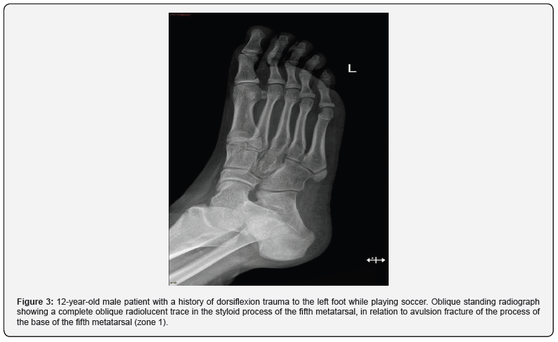
The fracture of the fifth metatarsal is the common pathology of this bone, it occupies 35% of the frequency of foot fractures and 70% of the metatarsal bones. There are several classifications, currently the Dameron-Lawrance-Botte classification is recommended since it allows characterization of the affected anatomical area, its management and prognosis. This classification divides fractures into three groups according to the area they affect; zone 1: fracture - avulsion of the styloid process of the 5th metatarsal (Figure 3). It may or may not have involvement of the metatarsocuboid joint; the mechanism that favors its presentation is a sudden traction of the peroneus brevis in forced inversion. Conservative management until intramedullary nailing [7,8].

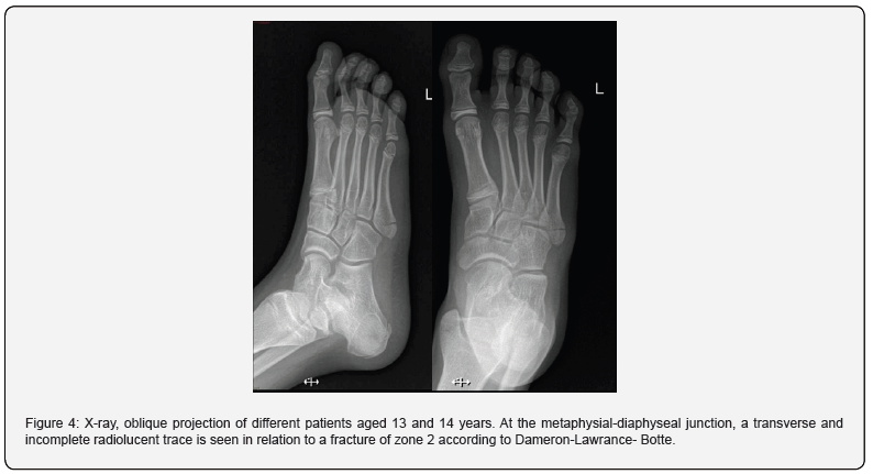
Subsequently, the fracture of the metadiaphyseal junction or zone 2, located 1.5 - 3 cm distal to the proximal end of the styloid process (Figure 4). Involves the 4th and 5th intermetatarsal joint, without participation of the metatarsocuboid joint. This fracture is favored by an adduction of the forefoot and ankle in plantar flexion [8]. And finally in terms of fractures, we find the zone 3 fracture or diaphyseal stress fracture, the least common in the pediatric population; These are located 1.5 cm proximal to the diaphysis, distal to the 4th-5th intermetatarsal joint. Its mechanism is given by repetitive overexertion. The radiographic findings consisted of an incomplete transverse fracture line without intermetatarsal joint involvement associated with a periosteal reaction. Their management is conservative, and they have an excellent prognosis.

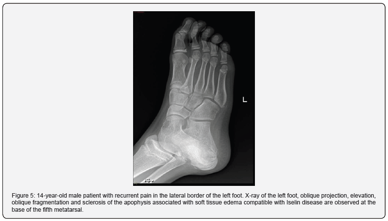
After fractures, we find Iselin Disease or apophysitis (osteochondrosis) of the base of the fifth metatarsal. It was first described in adolescents by Iselin in 1912 called apophysalgia of the ossification nucleus of the base of the 5th metatarsal due to continuous traction of the peroneus brevis muscle. Its main differential diagnosis is avulsion fracture of the styloid process. The oblique projection allows the best visualization of the ossification center, observing morphological irregularity of the ossification nucleus, sclerotic edges without clear fracture lines, there may be separation, and sometimes fragmentation of the apophysis and widening in the region of the growth cartilage (Figure 5). Clinical manifestations include pain on the outer edge of the foot that worsens with activity and improves with rest. Your treatment rest and anti-inflammatory treatment [9].

Finally, the accessories of the fifth metatarsal that are close to the styloid process and include the Os Vesalianum with a frequency of 15%, given by the fusion defect of the secondary ossification nucleus and is located in the peroneus brevis tendon; followed by Os peroneum, more common, at 26%, is an ossicle on the lateral aspect of the cuboid within the tendon of the peroneus longus muscle (Figure 6) [4,10].

Conclusion
The radiographic findings at the base of the fifth metatarsal comprise a wide spectrum of injuries, which need to be identified in a timely manner in order to reduce their morbidity, since most of them are athletic patients. Characterizing them in a better way will lead to timely and optimal treatment, where simple radiography is the accessible, economical and highly sensitive imaging modality.
References
- Chan JJ, Geller JS, Chen KK, Huang H, Huntley SR, Vulcano E, et al. (2021) Epidemiology of Severe Foot Injuries in US Collegiate Athletes. Orthop J Sports Med 9(4): 23259671211001131.
- Kaneko F, Edama M, Ikezu M, Matsuzawa K, Hirabayashi R, et al. (2020) Anatomic Characteristics of Tissues Attached to the Fifth Metatarsal Bone. Orthop J Sports Med 8(9): 2325967120947725.
- Qatu M, Borrelli G, Traynor C, Weistroffer J, Jastifer J (2021) Anatomy of the Intermetatarsal Facets of the Fourth and Fifth Metatarsals. Foot Ankle Orthop 6(1): 2473011420975709.
- Sharma A, Parekh SG (2021) Pathologies of the Peroneals: A Review. Foot & Ankle Specialist 14(2): 170-177.
- Xie M, Chagin AS (2021) Evolution, development and function. Bone 142: 115701.
- Ficek K, Kȩdra N, Skowronek R, Kluczniok K, Strózik M, et al. (2021) The Fifth Metatarsal Bone Fracture in Athletes - Modalities of Treatment Related to Agility in Soccer Players. J Hum Kinet 79: 101-110.
- Kane JM, Sandrowski K, Saffel H, Albanese A, Raikin SM, Pedowitz DI (2021) The Epidemiology of Fifth Metatarsal Fracture. Foot Ankle Spec 8(5): 354-359.
- Chloros GD, Kakos CD, Tastsidis IK, Giannoudis VP, Panteli M, et al. (2022) Fifth metatarsal fractures: an update on management, complications, and outcomes. EFORT Open Rev 7(1): 13-25.
- Aljabri NK, Alhassani TH, Labban AA, Alsawaf AH, Alnofeay KA (2023) Iselin Disease With a Rare Presentation in an Elderly Patient: A Case Report. Cureus 15(1): e33922.
- Wang ZD, Li H, Li L, Dong QY, Ding XH (2022) Fifth Metatarsal Base Fracture Combined With Fracture of the Os Peroneum. J Am Acad Orthop Surg Glob Res Rev 6(10): e22.00172.

















